Theo nghiên cứu nha chu năm 2023, hệ thống phân loại Miller được áp dụng bởi 87% nha sĩ chuyên khoa nha chu trên thế giới để đánh giá mức độ tụt nướu và tiên lượng khả năng phục hồi, trong đó 92% ca Miller Class I-II có thể che phủ chân răng hoàn toàn bằng phẫu thuật, trong khi Class III-IV chỉ đạt 45-65% che phủ.
Khi nói đến tụt nướu, không phải tất cả các trường hợp đều giống nhau. Có người tụt nướu nhẹ vẫn điều trị được hoàn hảo, nhưng có người dù đã chi nhiều tiền vẫn không đạt kết quả như mong đợi. Bí mật nằm ở đâu? Câu trả lời chính là hệ thống phân loại Miller – “thước đo vàng” giúp dự đoán chính xác khả năng phục hồi trước khi điều trị.
Phân loại Miller do Tiến sĩ Paul D. Miller đề xuất năm 1985 đã trở thành tiêu chuẩn quốc tế được sử dụng rộng rãi nhất cho đến nay. Hệ thống này không chỉ giúp các nha sĩ giao tiếp chuẩn với nhau mà còn là công cụ quan trọng để lập kế hoạch điều trị và tư vấn bệnh nhân về kỳ vọng thực tế.
Bài viết này sẽ giải thích chi tiết 4 cấp độ tụt nướu theo Miller (Class I, II, III, IV), cách đánh giá chính xác, chỉ định điều trị từng loại và tiên lượng kết quả cụ thể. Hiểu rõ về phân loại này sẽ giúp các bạn biết mình đang ở cấp độ nào và nên làm gì tiếp theo.
Nội dung bài viết này:
Phân loại Miller gồm những cấp độ nào

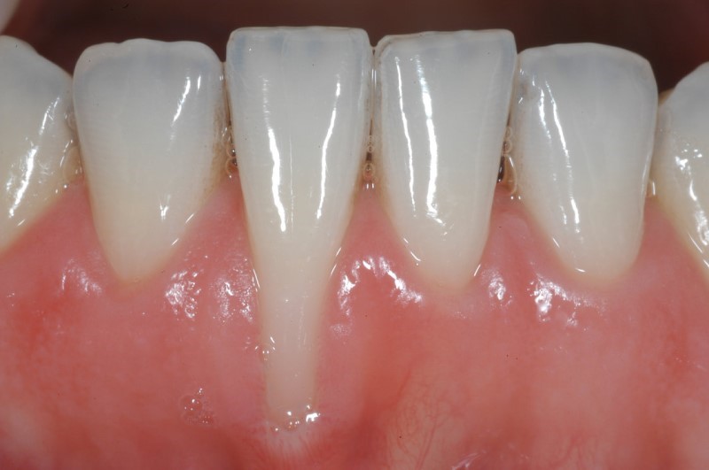
Hệ thống phân loại Miller chia tụt nướu thành 4 cấp độ từ nhẹ đến nặng, dựa trên 3 yếu tố chính: vị trí tụt nướu so với đường nối men-xi măng, tình trạng nướu giữa răng và mức độ mất xương nâng đỡ.
Đường nối men-xi măng (CEJ – Cemento-Enamel Junction) là ranh giới giữa men răng và xi măng bao phủ chân răng, là mốc chuẩn để đo mức độ tụt nướu trong phân loại Miller – một điểm tham chiếu cố định mà nha sĩ sử dụng để đánh giá chính xác.
| Cấp độ | Đặc điểm | Tiên lượng che phủ |
|---|---|---|
| Miller Class I | – Tụt nướu chưa tới đường nối lợi-niêm mạc miệng – Nướu giữa răng (papilla) còn nguyên vẹn – Không mất xương nâng đỡ – Răng không lệch vị trí | 90-100% che phủ hoàn toàn |
| Miller Class II | – Tụt nướu tới hoặc vượt đường nối lợi-niêm mạc – Nướu giữa răng vẫn còn nguyên – Không mất xương nâng đỡ – Răng không lệch vị trí | 85-100% che phủ hoàn toàn |
| Miller Class III | – Tụt nướu vượt đường nối lợi-niêm mạc – Nướu giữa răng bị mất một phần – Có mất xương nhẹ đến trung bình – Răng có thể lệch vị trí nhẹ | 50-70% che phủ một phần |
| Miller Class IV | – Tụt nướu nặng, vượt qua MGJ – Nướu giữa răng mất hoàn toàn – Mất xương nhiều – Răng lệch nặng, có thể lung lay | 20-45% che phủ rất hạn chế |
Giải thích chi tiết từng cấp độ
Miller Class I – Dễ điều trị nhất:
Đây là giai đoạn tụt nướu nhẹ nhất và có tiên lượng điều trị tốt nhất. Nướu chỉ tụt một chút, chưa vượt quá vùng nướu bám dính. Quan trọng nhất là nướu giữa các răng (papilla) vẫn còn nguyên vẹn – đây là yếu tố quyết định để phẫu thuật có thể che phủ hoàn toàn chân răng.
Miller Class II – Vẫn điều trị tốt:
Tụt nướu đã vượt quá đường nối lợi-niêm mạc nhưng may mắn là nướu giữa răng vẫn còn. Mặc dù mức độ tụt nặng hơn Class I, nhưng vì nướu giữa răng còn nguyên nên vẫn có thể che phủ hoàn toàn bằng phẫu thuật.
Miller Class III – Trung bình khó:
Đây là ranh giới giữa “có thể che phủ tốt” và “khó che phủ hoàn toàn”. Nướu giữa răng đã bị mất một phần, xương nâng đỡ cũng bị tiêu một chút. Phẫu thuật chỉ có thể che phủ 50-70% chân răng bị lộ, không thể phục hồi 100% như ban đầu.
Miller Class IV – Rất khó điều trị:
Tình trạng nặng nhất với nướu giữa răng mất hoàn toàn, xương tiêu nhiều, răng có thể lệch lạc và lung lay. Phẫu thuật chỉ mang tính cải thiện triệu chứng và thẩm mỹ tương đối, không kỳ vọng che phủ hoàn toàn.
Để hiểu rõ hơn về tụt nướu là gì, nguyên nhân và dấu hiệu cơ bản trước khi tìm hiểu sâu về phân loại chuyên môn này, các bạn nên đọc bài Tụt Nướu Răng Là Gì? Nắm vững kiến thức nền tảng sẽ giúp các bạn hiểu rõ hơn về tầm quan trọng của việc phân loại đúng.
Cách đánh giá tụt nướu theo Miller

Việc phân loại chính xác theo Miller không phải “nhìn thoáng qua” mà cần quy trình khám cẩn thận với các bước cụ thể. Sai một bước có thể dẫn đến kế hoạch điều trị không phù hợp.
Quy trình đánh giá 5 bước
Bước 1: Xác định đường nối men-xi măng (CEJ)
Bác sĩ sẽ tìm đường ranh giới giữa phần men răng (màu trắng) và chân răng (màu vàng ngà). Đây là mốc “zero” để đo mức độ tụt nướu. Nếu nướu còn phủ qua CEJ thì chưa bị tụt, nếu CEJ đã lộ ra thì đã có tụt nướu.
Bước 2: Đo khoảng cách tụt nướu
Dùng thăm dò nha chu đo từ CEJ xuống đến rìa nướu hiện tại. Khoảng cách này cho biết mức độ tụt bao nhiêu mm. Ví dụ: 2mm, 4mm, 6mm…
Bước 3: Kiểm tra nướu giữa răng (papilla)
Đây là bước quyết định! Bác sĩ sẽ kiểm tra xem nướu giữa 2 răng còn nguyên vẹn hay đã bị mất:
- Còn nguyên hoàn toàn → Class I hoặc II
- Mất một phần → Class III
- Mất hoàn toàn → Class IV
Bước 4: Đánh giá xương nâng đỡ răng
Chụp X-quang để xem xương ổ răng còn bao nhiêu. Mất xương là dấu hiệu nghiêm trọng hơn, thường đi với Class III-IV và làm giảm khả năng che phủ hoàn toàn.
Bước 5: Kiểm tra vị trí răng
Răng có bị lệch, xoay, nghiêng không? Răng lệch vị trí làm khó khăn cho phẫu thuật che phủ, thường gặp ở Class III-IV.
Dụng cụ và kỹ thuật
- Thăm dò nha chu: Que kim loại có vạch chia mm để đo chính xác
- Gương nha khoa: Để quan sát góc khó thấy
- X-quang nha chu: Đánh giá xương dưới nướu
- Chụp ảnh lâm sàng: Lưu hồ sơ để so sánh sau điều trị
Nghiên cứu cho thấy việc phân loại chính xác theo Miller giúp dự đoán kết quả phẫu thuật với độ chính xác 85-90%, trong khi không phân loại dẫn đến tỷ lệ thất bại cao hơn 35%.
Để được bác sĩ Nha Khoa MIC đánh giá chính xác cấp độ tụt nướu theo phân loại Miller và tư vấn phương pháp điều trị phù hợp, hãy nhấn nút tư vấn ở bên dưới. Đánh giá chuyên nghiệp là bước đầu tiên cho một kế hoạch điều trị thành công.
Điều trị như thế nào theo từng loại Miller

Mỗi cấp độ Miller có phương pháp điều trị riêng và kỳ vọng kết quả khác nhau. Hiểu rõ điều này giúp các bạn có kế hoạch phù hợp và tránh thất vọng.
Phác đồ điều trị chi tiết
Miller Class I – Dễ nhất, kết quả tốt nhất
Các phương pháp áp dụng:
- Vạt di chuyển bên (Lateral Sliding Flap): Lấy nướu từ vùng bên cạnh kéo sang che chân răng
- Vạt xoay (Rotational Flap): Xoay nướu từ vùng có dư sang vùng thiếu
- Ghép mô liên kết: Lấy mô từ vòm miệng ghép vào vùng tụt
Kết quả: 90-100% che phủ hoàn toàn, nướu ổn định lâu dài.
Miller Class II – Vẫn rất khả quan
Ghép mô liên kết dưới biểu mô (Subepithelial Connective Tissue Graft – SCTG) là kỹ thuật vàng trong điều trị tụt nướu Miller Class I-II, sử dụng mô liên kết từ vòm miệng để tăng độ dày nướu và che phủ chân răng với tỷ lệ thành công rất cao.
Phương pháp điều trị:
- SCTG kết hợp vạt ngầm (Tunnel Technique)
- Màng sinh học tái tạo mô (nếu cần)
- Có thể dùng protein tái sinh Emdogain
Kết quả: 85-100% che phủ hoàn toàn, đôi khi cần ghép thêm để tăng độ dày nướu.
Miller Class III – Phức tạp hơn nhiều
Điều trị:
- SCTG + màng tái tạo có hướng dẫn (GTR)
- Có thể cần chỉnh nha trước để đưa răng về đúng vị trí
- Kỹ thuật kết hợp nhiều bước
Kết quả: Chỉ che phủ 50-70%, không thể hoàn hảo như Class I-II vì nướu giữa răng đã mất.
Miller Class IV – Mục tiêu khác biệt
Điều trị:
- Chỉ mục tiêu cải thiện thẩm mỹ và giảm triệu chứng
- Ghép nướu để tăng độ dày, bảo vệ chân răng
- Có thể cần nhổ răng và trồng implant sau này
- Hàn trám cổ răng để giảm ê buốt
Kết quả: 20-45% che phủ, không kỳ vọng phục hồi hoàn toàn.
| Miller Class | Phương pháp chính | Thời gian phẫu thuật | Hồi phục | Tỷ lệ thành công |
|---|---|---|---|---|
| Class I | Vạt di chuyển + SCTG | 45-90 phút | 2-3 tuần | 90-100% |
| Class II | SCTG + Tunnel Technique | 60-120 phút | 3-4 tuần | 85-100% |
| Class III | SCTG + GTR + có thể chỉnh nha | 90-150 phút | 4-6 tuần | 50-70% |
| Class IV | Ghép nướu palliative | 60-90 phút | 3-4 tuần | 20-45% |
Tìm hiểu chi tiết hơn về các phương pháp điều trị hiện đại, quy trình thực hiện từng bước và kết quả thực tế từ các ca lâm sàng tại bài Điều Trị Tụt Nướu Răng. Bài viết đó sẽ cung cấp thông tin toàn diện về chi phí, thời gian và kỳ vọng thực tế cho từng phương pháp.
Tiên lượng phục hồi theo Miller như thế nào

Hiểu rõ tiên lượng là chìa khóa để có kỳ vọng đúng đắn. Không phải ai cũng có thể đạt kết quả hoàn hảo, và biết trước điều này giúp các bạn không thất vọng.
Tiên lượng theo từng cấp độ
Miller Class I & II – Tiên lượng rất tốt
Che phủ hoàn toàn 90-100%:
- Phần lớn trường hợp đạt kết quả gần như hoàn hảo
- Chân răng được che phủ trở lại
- Nướu ổn định lâu dài nếu chăm sóc đúng cách
- Thẩm mỹ cải thiện rõ rệt, nụ cười tự tin hơn
Thời gian ổn định: 6-12 tháng sau phẫu thuật, nướu đạt hình thái cuối cùng.
Miller Class III – Tiên lượng trung bình
Che phủ một phần 50-70%:
- Không thể phục hồi 100% như Class I-II
- Cải thiện đáng kể nhưng vẫn thấy một phần chân răng
- Giảm ê buốt rõ rệt
- Thẩm mỹ tốt hơn nhiều so với trước điều trị
Yếu tố ảnh hưởng: Mức độ mất nướu giữa răng, tình trạng xương, vị trí răng.
Miller Class IV – Tiên lượng hạn chế
Che phủ rất hạn chế 20-45%:
- Mục tiêu chính là cải thiện triệu chứng, không phải thẩm mỹ hoàn hảo
- Giảm ê buốt, bảo vệ chân răng khỏi sâu
- Tăng độ dày nướu
- Một số trường hợp cần cân nhắc nhổ răng và implant
Yếu tố quyết định thành công
Yếu tố từ bệnh nhân:
- Tuổi: Người trẻ hồi phục tốt hơn người lớn tuổi
- Hút thuốc: Giảm tỷ lệ thành công 30-50%, có thể thất bại hoàn toàn
- Tiểu đường: Cần kiểm soát đường huyết <7% HbA1c
- Tuân thủ chăm sóc: Yếu tố quan trọng nhất sau phẫu thuật
Yếu tố từ kỹ thuật:
- Kỹ năng và kinh nghiệm của bác sĩ
- Chọn phương pháp phù hợp với từng cấp độ
- Chất lượng mô ghép
- Chăm sóc sau phẫu thuật
Nghiên cứu thực tế:
- Class I-II: 92% bệnh nhân hài lòng với kết quả
- Class III: 68% hài lòng, kỳ vọng ban đầu cần điều chỉnh
- Class IV: 45% hài lòng, chủ yếu về giảm triệu chứng
Đặt lịch khám tại Nha Khoa MIC để được đánh giá chuyên sâu và nhận tư vấn tiên lượng cụ thể cho trường hợp của bạn. Biết rõ tiên lượng từ đầu giúp bạn có quyết định đúng đắn và tránh thất vọng sau này.

Tại sao phân loại Miller quan trọng

Nhiều người thắc mắc: “Tại sao phải phân loại phức tạp thế? Chữa luôn không được sao?”. Câu trả lời nằm ở những lý do quan trọng dưới đây.
Lợi ích của hệ thống phân loại chuẩn
Dự đoán chính xác kết quả trước khi điều trị
Đây là lợi ích lớn nhất! Nhờ phân loại Miller, bác sĩ có thể nói trước với độ chính xác 85-90% rằng phẫu thuật sẽ đạt kết quả như thế nào. Class I-II kỳ vọng che phủ 100%, Class III chỉ 50-70%, Class IV rất hạn chế. Không phân loại = đi trong đêm tối không đèn.
Lập kế hoạch điều trị phù hợp
Mỗi cấp độ cần phương pháp khác nhau. Class I có thể dùng vạt đơn giản, nhưng Class III phải kết hợp nhiều kỹ thuật phức tạp. Biết đúng cấp độ giúp chọn đúng phương pháp, tiết kiệm thời gian và chi phí.
Tư vấn bệnh nhân kỳ vọng thực tế
Tránh tình trạng: “Bác sĩ ơi, sao không đẹp như răng bên cạnh?”. Nếu là Class IV, bác sĩ sẽ tư vấn thẳng thắn từ đầu rằng chỉ cải thiện được 20-45%, không thể hoàn hảo. Bệnh nhân hiểu và đồng ý từ đầu = không thất vọng sau này.
Giao tiếp chuẩn giữa các nha sĩ
Khi bác sĩ A nói “Miller Class II”, bác sĩ B ở bất kỳ đâu trên thế giới đều hiểu chính xác tình trạng và phương pháp điều trị. Đây là ngôn ngữ chung của nha khoa quốc tế.
Hỗ trợ nghiên cứu và giảng dạy
Các nghiên cứu khoa học về tụt nướu đều sử dụng phân loại Miller để so sánh kết quả. Sinh viên nha khoa học chuẩn từ đầu.
Hạn chế và các hệ thống mới
Hạn chế của Miller:
- Không đánh giá độ dày nướu (yếu tố quan trọng cho kết quả)
- Không phân biệt loại mô nướu (mỏng hay dày)
- Không tính đến chiều rộng vùng nướu bám dính
Các hệ thống mới hơn:
- Cairo Classification (2011): Phân loại chi tiết hơn, tính thêm yếu tố CEJ
- RT Classification (2018): Đơn giản hơn, chỉ 3 loại thay vì 4
Tuy nhiên, Miller vẫn là hệ thống được sử dụng rộng rãi nhất trên thế giới do tính đơn giản, dễ áp dụng và đã được kiểm chứng qua hàng chục năm.
Kết luận
Phân loại Miller chia tụt nướu thành 4 cấp độ với tiên lượng rất khác biệt: Class I-II có thể che phủ hoàn toàn 90-100%, Class III chỉ 50-70%, còn Class IV rất hạn chế 20-45%. Hiểu rõ điều này giúp các bạn có kỳ vọng đúng đắn và quyết định điều trị phù hợp.
Chìa khóa thành công nằm ở việc đánh giá chính xác cấp độ tụt nướu từ đầu. Không phải tất cả tụt nướu đều có thể chữa khỏi hoàn hảo – Class III-IV do đã mất nướu giữa răng và xương nâng đỡ nên không thể phục hồi 100%. Tuy nhiên, điều trị đúng cách vẫn cải thiện đáng kể về thẩm mỹ và chức năng, giảm ê buốt, bảo vệ chân răng khỏi sâu và nhiễm trùng.
Nha Khoa MIC với đội ngũ bác sĩ chuyên khoa nha chu giàu kinh nghiệm sẵn sàng đánh giá chuyên sâu theo phân loại Miller và tư vấn phương pháp điều trị phù hợp nhất cho từng trường hợp. Đừng tự điều trị khi chưa biết mình đang ở cấp độ nào – một đánh giá chính xác là bước đầu tiên cho kết quả thành công và tránh lãng phí cả thời gian lẫn chi phí!
Thông tin bài viết này có hữu ích?
Hãy giúp chúng tôi vài dòng đánh giá bên dưới.
Chúng tôi cần thêm thông tin gì để bài viết này được tốt hơn?

