“Bác sĩ ơi, mổ xong rồi có bị lại không?” – đây là câu hỏi tôi nghe gần như mỗi ngày từ bệnh nhân vừa được chẩn đoán hoặc vừa trải qua phẫu thuật nang răng. Và tôi hiểu, nỗi lo này hoàn toàn chính đáng.
Theo nghiên cứu được công bố trên Journal of Oral and Maxillofacial Surgery, tỷ lệ tái phát của nang chân răng dao động từ 5-14% đối với nang thông thường. Tuy nhiên, con số này có thể lên đến 25-60% đối với một số loại nang đặc biệt như nang sừng do răng. Nghe có vẻ đáng lo, nhưng đừng vội hoang mang – tỷ lệ này phụ thuộc rất nhiều vào phương pháp điều trị và cách chăm sóc sau phẫu thuật.
Thực tế lâm sàng cho thấy, phần lớn trường hợp tái phát đều có nguyên nhân cụ thể và hoàn toàn có thể phòng ngừa được. Điều quan trọng là bạn cần hiểu rõ tại sao nang có thể “quay lại” để chủ động hợp tác cùng bác sĩ trong suốt quá trình điều trị.
Nội dung bài viết này:
Tại Sao Nang Chân Răng Có Thể Tái Phát?

Nang răng không tự nhiên “mọc lại” như cỏ dại sau mưa. Mỗi trường hợp tái phát đều có lý do y khoa cụ thể, và việc hiểu rõ những nguyên nhân này sẽ giúp bạn chủ động hơn trong việc phòng ngừa.
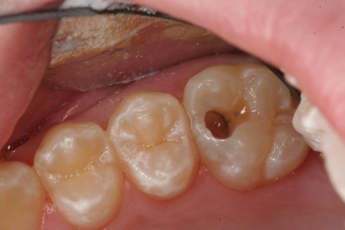
Viêm quanh chóp răng mạn tính là tình trạng nhiễm trùng kéo dài ở vùng mô quanh chóp răng, thường do tủy răng hoại tử không được điều trị đúng cách. Đây chính là “tiền thân” của nhiều trường hợp nang chân răng, và nếu ổ viêm này không được giải quyết triệt để, nang hoàn toàn có thể hình thành trở lại sau phẫu thuật.
Các nguyên nhân tái phát phổ biến:
- Nạo nang không triệt để, còn sót mô biểu mô bệnh lý
- Không điều trị tủy răng hoặc điều trị tủy thất bại
- Loại nang có tính chất sinh học dễ tái phát (như nang sừng)
- Nhiễm trùng thứ phát sau phẫu thuật
- Không tái khám đúng lịch để phát hiện sớm dấu hiệu bất thường
Để hiểu rõ hơn về cơ chế hình thành và các loại nang răng khác nhau, bạn có thể tham khảo bài viết Nang Răng Là Gì? U Nang Răng & Dấu Hiệu Nhận Biết.
Nang Chân Răng Có Tự Hết Không?

Tôi cần nói thẳng với bạn một sự thật: nang chân răng KHÔNG BAO GIỜ tự hết. Đây không phải là vết loét miệng hay mụn nhọt sẽ tự lành sau vài ngày. Nang là một cấu trúc bệnh lý có vỏ bọc riêng, và nó sẽ tiếp tục phát triển nếu không được can thiệp.
Nghiên cứu cho thấy 100% trường hợp nang chân răng nếu không điều trị sẽ tiếp tục phát triển, với tốc độ tăng kích thước trung bình 2-5mm mỗi năm. Có thể bạn nghĩ “2-5mm có đáng gì”, nhưng hãy tưởng tượng sau 5 năm, một khối nang có thể đã lan rộng cả vùng xương hàm.
Tại sao nhiều người tưởng nang “tự hết”?
Đôi khi nang vỡ ra và chảy mủ, triệu chứng đau nhức giảm đi khiến người bệnh nghĩ rằng đã khỏi. Nhưng thực tế, nang vẫn còn đó và tiếp tục phát triển âm thầm. Đây là lý do nhiều trường hợp phát hiện nang khi đã quá lớn, gây khó khăn cho điều trị.
Bạn đang phân vân không biết tình trạng nang răng của mình có nghiêm trọng không? Đừng chờ đợi – hãy để bác sĩ Nha Khoa MIC đánh giá và tư vấn miễn phí ngay hôm nay!
Nang Răng Có Nguy Hiểm Không? Biến Chứng Cần Biết

“Nang lành tính mà, có sao đâu” – tôi đã nghe câu này nhiều lần từ những bệnh nhân chủ quan. Đúng, nang răng là tổn thương lành tính, nhưng “lành tính” không có nghĩa là “vô hại”. Giống như một đám cháy nhỏ trong nhà – nếu không dập tắt kịp thời, hậu quả có thể rất nghiêm trọng.
Tiêu xương hàm là hiện tượng mô xương bị phá hủy và mất dần đi, thường xảy ra khi nang răng phát triển lớn và liên tục “đè ép” lên cấu trúc xương xung quanh. Đây là một trong những biến chứng nguy hiểm nhất mà tôi thường gặp ở những bệnh nhân phát hiện nang quá muộn.
Bảng biến chứng theo mức độ:
| Mức độ | Biến chứng | Hậu quả |
|---|---|---|
| Nhẹ | Đau nhức, sưng nướu | Khó chịu, ảnh hưởng ăn uống |
| Trung bình | Tiêu xương hàm, răng lung lay | Mất răng, cần phẫu thuật phức tạp |
| Nặng | Gãy xương hàm bệnh lý, nhiễm trùng lan rộng | Phẫu thuật lớn, nguy hiểm sức khỏe |
| Hiếm gặp | Chuyển dạng ác tính | Ung thư xương hàm |
Tỷ lệ chuyển dạng ác tính tuy rất thấp (dưới 1%), nhưng không phải là không có. Đặc biệt với những loại nang như u nang men răng hay nang sừng do răng, nguy cơ này cao hơn so với nang thông thường.
Làm Sao Để Ngăn Ngừa Nang Răng Tái Phát?

Tin vui là bạn hoàn toàn có thể giảm đáng kể nguy cơ tái phát bằng cách tuân thủ một số nguyên tắc quan trọng. Tôi thường nói với bệnh nhân rằng phẫu thuật thành công chỉ là 50% chặng đường – 50% còn lại phụ thuộc vào sự hợp tác của chính bạn.
Nguyên tắc vàng để ngăn ngừa tái phát:
- Chọn cơ sở nha khoa uy tín với bác sĩ có chuyên môn phẫu thuật tốt
- Điều trị triệt để nguyên nhân gốc (như điều trị tủy răng nếu cần)
- Tuân thủ nghiêm ngặt lịch tái khám
- Chăm sóc vết thương đúng cách sau phẫu thuật
- Duy trì vệ sinh răng miệng tốt về lâu dài
Lịch tái khám chuẩn sau phẫu thuật nang răng:
- Sau 1 tuần: Cắt chỉ, đánh giá lành thương ban đầu
- Sau 1 tháng: Kiểm tra lâm sàng
- Sau 3 tháng: Chụp X-quang kiểm tra lần đầu
- Sau 6 tháng: Đánh giá quá trình tái tạo xương
- Sau 1 năm: Xác nhận hết nang hoàn toàn
- Định kỳ mỗi năm trong 3-5 năm tiếp theo (với nang có nguy cơ tái phát cao)
Chế độ ăn uống cũng đóng vai trò quan trọng trong quá trình hồi phục và ngăn ngừa tái phát. Bạn có thể tham khảo chi tiết tại bài viết Mổ Nang Răng Kiêng Ăn Gì?
Khi Nào Cần Gặp Bác Sĩ Ngay?

Sau phẫu thuật, việc theo dõi tình trạng răng miệng tại nhà là rất quan trọng. Cơ thể bạn sẽ “báo hiệu” khi có điều bất thường – vấn đề là bạn có nhận ra những tín hiệu đó không.
Dấu hiệu cảnh báo cần thăm khám ngay:
- Sưng đau trở lại ở vùng đã phẫu thuật sau thời gian đã lành ổn định
- Răng bắt đầu lung lay bất thường
- Xuất hiện lỗ rò mủ ở nướu (dấu hiệu nhiễm trùng)
- Tê bì môi hoặc cằm kéo dài (có thể nang chèn ép dây thần kinh)
- Đau nhức âm ỉ không rõ nguyên nhân ở vùng hàm
Đặc biệt lưu ý: Nhiều trường hợp nang tái phát không có triệu chứng rõ ràng trong giai đoạn đầu. Đây là lý do việc tái khám đúng lịch và chụp X-quang định kỳ vô cùng quan trọng – giúp phát hiện sớm trước khi nang kịp phát triển lớn.
Đừng tự ý mua thuốc giảm đau hay kháng sinh để “chữa cháy” tại nhà. Những triệu chứng trên cần được bác sĩ đánh giá trực tiếp và xử lý đúng cách.
Phát hiện dấu hiệu bất thường sau mổ nang răng? Hoặc bạn muốn kiểm tra tình trạng nang răng hiện tại? Đặt lịch khám ngay để được bác sĩ chuyên khoa đánh giá chính xác!
So Sánh Tỷ Lệ Tái Phát Theo Loại Nang Răng
Không phải loại nang nào cũng có nguy cơ tái phát như nhau. Việc hiểu rõ đặc điểm từng loại sẽ giúp bạn biết mình cần theo dõi “sát sao” đến mức nào sau điều trị.
Bảng so sánh chi tiết:
| Loại nang | Tỷ lệ tái phát | Đặc điểm | Phương pháp giảm tái phát |
|---|---|---|---|
| Nang chân răng thông thường | 5-14% | Phổ biến nhất, liên quan đến răng hoại tử tủy | Điều trị tủy triệt để + nạo sạch |
| Nang sừng do răng | 25-60% | Vỏ mỏng dễ vỡ, tế bào có xu hướng tái tạo | Cắt bỏ rộng, xử lý bề mặt xương |
| U nang men răng | 15-25% | Xuất phát từ tế bào men, hay phá hủy xương | Phẫu thuật triệt để, theo dõi lâu dài |
| Nang do răng dạng tuyến | 20-30% | Hiếm gặp, tính chất xâm lấn tại chỗ | Cắt bỏ rộng rãi, tái khám thường xuyên |
Nếu bạn được chẩn đoán có loại nang thuộc nhóm “nguy cơ tái phát cao”, đừng quá lo lắng. Điều này chỉ có nghĩa là bạn cần theo dõi sát hơn và tái khám đúng lịch hơn – không phải là “án tử” cho chiếc răng của mình. Với kỹ thuật phẫu thuật hiện đại và quy trình theo dõi chặt chẽ, tỷ lệ kiểm soát thành công vẫn rất cao.
Kết bài
Nang chân răng có tái phát không? Câu trả lời là CÓ – với tỷ lệ từ 5% đến 60% tùy thuộc vào loại nang, phương pháp điều trị và cách chăm sóc hậu phẫu. Nang răng cũng KHÔNG TỰ HẾT và hoàn toàn CÓ THỂ GÂY NGUY HIỂM nếu không được điều trị đúng cách, kịp thời.
Tuy nhiên, đừng để những con số này làm bạn hoang mang. Bí quyết để “sống chung” an toàn với nang răng nằm ở ba điều: chọn đúng bác sĩ, tuân thủ đúng lịch tái khám, và chăm sóc răng miệng đúng cách. Hãy xem việc theo dõi định kỳ như một khoản đầu tư nhỏ để tránh những “chi phí lớn” về sau – cả về sức khỏe lẫn tài chính. Răng miệng khỏe mạnh không phải là điều tự nhiên mà có, nhưng hoàn toàn nằm trong tầm tay nếu bạn chủ động chăm sóc từ hôm nay.
Thông tin bài viết này có hữu ích?
Hãy giúp chúng tôi vài dòng đánh giá bên dưới.
Chúng tôi cần thêm thông tin gì để bài viết này được tốt hơn?


