“Bác sĩ ơi, mổ nang răng hết bao nhiêu tiền?” – đây có lẽ là câu hỏi tôi nhận được nhiều nhất mỗi khi tư vấn cho bệnh nhân về tình trạng nang răng. Và thú thật, đây cũng là câu hỏi khó trả lời nhất nếu không thăm khám trực tiếp.
Theo khảo sát từ các phòng khám nha khoa tại Việt Nam, chi phí mổ nang răng dao động từ 3.000.000đ đến 15.000.000đ, thậm chí có thể lên đến 25-30 triệu đồng với các trường hợp phức tạp cần ghép xương. Khoảng dao động rộng như vậy khiến nhiều người hoang mang – không biết mình sẽ thuộc nhóm nào, cần chuẩn bị bao nhiêu tiền.
Bài viết này tôi sẽ phân tích chi tiết các yếu tố quyết định chi phí, từ kích thước nang, vị trí, phương pháp điều trị đến những khoản phát sinh có thể có. Mục tiêu là giúp bạn ước tính được con số thực tế trước khi đến khám, tránh bị “bất ngờ” về tài chính.
Nội dung bài viết này:
Bảng Giá Mổ Nang Răng Mới Nhất Tại Nha Khoa MIC

Trước tiên, hãy cùng xem qua bảng giá tham khảo để bạn có cái nhìn tổng quan:
| Dịch vụ | Chi phí |
|---|---|
| Phẫu thuật bóc nang răng (nang nhỏ < 2cm) | 3.000.000đ – 5.000.000đ |
| Phẫu thuật bóc nang răng (nang trung bình 2-4cm) | 5.000.000đ – 8.000.000đ |
| Phẫu thuật bóc nang răng (nang lớn > 4cm) | 8.000.000đ – 15.000.000đ |
| Bóc nang + nhổ răng liên quan | Cộng thêm 1.000.000đ – 3.000.000đ |
| Bóc nang + cắt chóp chân răng | Cộng thêm 2.000.000đ – 4.000.000đ |
| Ghép xương nhân tạo (nếu cần) | 5.000.000đ – 7.000.000đ |
| Chụp CT Cone Beam 3D | 200.000đ – 300.000đ |
| Xét nghiệm tiền phẫu | 300.000đ – 500.000đ |
Bạn có thể thấy, chi phí phụ thuộc rất nhiều vào kích thước nang. Một nang nhỏ phát hiện sớm có thể chỉ tốn 3-5 triệu, nhưng nếu để nang phát triển lớn, con số có thể gấp 3-4 lần. Đây là lý do tôi luôn nhấn mạnh tầm quan trọng của việc khám định kỳ – phát hiện sớm không chỉ giúp điều trị đơn giản hơn mà còn tiết kiệm đáng kể chi phí.
Lưu ý rằng đây là chi phí tham khảo, mức giá cụ thể sẽ được xác định sau khi bác sĩ thăm khám và đánh giá tình trạng thực tế của bạn.
Các Yếu Tố Ảnh Hưởng Đến Chi Phí Mổ Nang Răng

Tại sao cùng là mổ nang răng mà người này 5 triệu, người kia 15 triệu? Câu trả lời nằm ở những yếu tố sau:
1. Kích thước nang
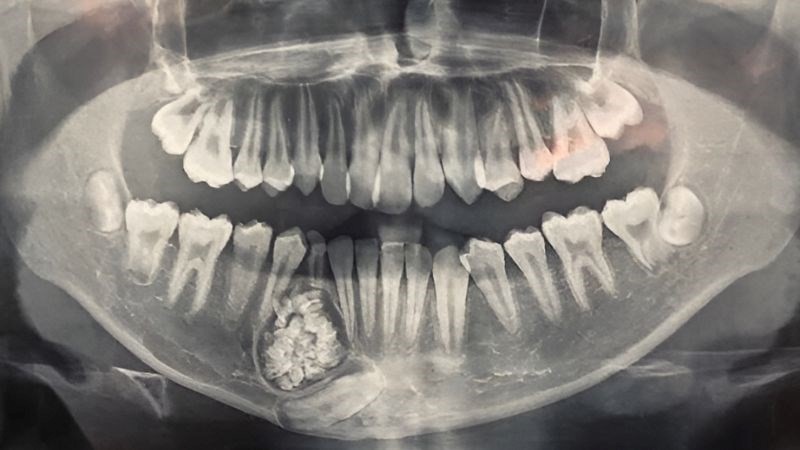
Đây là yếu tố quan trọng nhất. Nang càng lớn, phẫu thuật càng phức tạp, thời gian mổ dài hơn, và có thể cần thêm các thủ thuật hỗ trợ như ghép xương. Một nang 1cm và một nang 5cm có độ khó xử lý hoàn toàn khác nhau.
2. Loại nang
Không phải nang nào cũng giống nang nào. Nang chân răng (Radicular cyst) là loại phổ biến nhất, chiếm khoảng 50-70% các trường hợp, hình thành từ viêm nhiễm mãn tính vùng chóp chân răng do tủy răng hoại tử. Loại nang này thường có chi phí điều trị ở mức trung bình vì tiên lượng tốt và ít tái phát. Các loại nang khác như nang thân răng, nang sừng hóa có thể phức tạp hơn.
3. Vị trí nang
Nang ở vùng răng cửa thường dễ tiếp cận hơn nang ở vùng răng khôn hàm dưới – nơi gần dây thần kinh quan trọng. Vị trí khó → kỹ thuật cao hơn → chi phí tăng.
4. Có cần thêm thủ thuật không?
- Ghép xương: +5-7 triệu
- Cắt chóp chân răng: +2-4 triệu
- Nhổ răng: +1-3 triệu
Để hiểu rõ hơn về cơ chế hình thành và phân loại các loại nang, bạn có thể tham khảo bài viết Nang Răng Là Gì? – nắm được bản chất bệnh sẽ giúp bạn hiểu tại sao chi phí lại dao động như vậy.
Chi Phí Mổ Nang Răng Theo Từng Phương Pháp Điều Trị

Bác sĩ không chỉ có một cách duy nhất để xử lý nang răng. Tùy tình trạng cụ thể, các phương pháp khác nhau sẽ được áp dụng, và mỗi phương pháp có mức chi phí riêng.
Phương pháp 1: Bóc nang đơn thuần (Enucleation)
Đây là phương pháp phổ biến nhất – phẫu thuật lấy toàn bộ nang ra khỏi xương hàm. Chi phí: 3-15 triệu tùy kích thước. Phù hợp với đa số trường hợp nang có kích thước vừa và nhỏ.
Phương pháp 2: Mở thông nang (Marsupialization)
Với nang quá lớn, bác sĩ có thể tạo “cửa sổ” để nang xẹp dần theo thời gian, sau đó mới bóc hoàn toàn. Chi phí ban đầu thấp hơn nhưng cần theo dõi nhiều tháng.
Phương pháp 3: Bóc nang + cắt chóp chân răng
Khi muốn bảo tồn răng, bác sĩ vừa bóc nang vừa cắt bỏ phần chóp răng bị viêm. Chi phí cao hơn nhưng giữ được răng thật.
Theo thống kê tại các phòng khám chuyên khoa răng hàm mặt, khoảng 70% trường hợp nang răng được điều trị bằng phương pháp bóc nang đơn thuần với chi phí trung bình 5-8 triệu đồng. 20% cần kết hợp thêm các thủ thuật khác, đẩy chi phí lên 10-20 triệu đồng.
Bạn đang băn khoăn không biết trường hợp của mình thuộc nhóm nào và chi phí cụ thể là bao nhiêu? Đừng tự đoán – hãy để bác sĩ Nha Khoa MIC thăm khám và báo giá chính xác cho bạn, hoàn toàn miễn phí!
Chi Phí Mổ Nang Răng Hàm Trên Và Hàm Dưới Có Khác Nhau Không?

Câu trả lời ngắn gọn: Có, và đôi khi khác nhau đáng kể.
Nang răng hàm trên và hàm dưới tuy cùng bản chất nhưng khác nhau về giải phẫu xung quanh, dẫn đến độ phức tạp khi phẫu thuật khác nhau.
Nang răng hàm trên:
- Xương hàm trên xốp, mềm → phẫu thuật thường nhanh hơn
- Nhưng nếu nang xâm lấn xoang hàm → cần xử lý thêm vùng xoang
- Chi phí có thể tăng nếu cần nâng xoang kèm theo
Nang răng hàm dưới:
- Xương hàm dưới đặc, cứng → phẫu thuật tốn thời gian hơn
- Gần dây thần kinh quan trọng → cần kỹ thuật cao, hình ảnh 3D chi tiết
- Chi phí chẩn đoán hình ảnh có thể cao hơn
Khi nang răng hàm trên có kích thước lớn và xâm lấn vào xoang hàm, bác sĩ có thể cần thực hiện thêm thủ thuật nâng xoang. Nâng xoang hàm (Sinus lift) là phẫu thuật nâng đáy xoang hàm và ghép xương vào khoảng trống tạo ra, thường cần thiết khi chiều cao xương còn lại không đủ sau khi bóc nang. Chi phí nâng xoang dao động từ 10-20 triệu đồng tùy phương pháp kín hay hở.
Vị trí nang không chỉ ảnh hưởng đến chi phí mà còn quyết định triệu chứng và phương pháp điều trị. Tìm hiểu chi tiết hơn trong bài viết Nang Răng Hàm Trên để biết những đặc điểm riêng của nang ở từng vị trí.
Chi Phí Sau Phẫu Thuật – Những Khoản Cần Tính Thêm

Nhiều người chỉ hỏi “mổ hết bao nhiêu” mà quên mất rằng còn có các chi phí trước và sau phẫu thuật. Để tránh bất ngờ, hãy tính cả những khoản này:
Trước phẫu thuật:
- Khám và chụp X-quang Panorama: 100.000đ – 200.000đ
- Chụp CT Cone Beam 3D (nếu cần): 200.000đ – 300.000đ
- Xét nghiệm máu tiền phẫu: 300.000đ – 500.000đ
Sau phẫu thuật:
- Thuốc kháng sinh, giảm đau, kháng viêm: 300.000đ – 500.000đ
- Tái khám, cắt chỉ: Thường miễn phí tại Nha Khoa MIC
- Chụp X-quang kiểm tra: 100.000đ – 200.000đ/lần
- Xét nghiệm giải phẫu bệnh (sinh thiết): 500.000đ – 1.000.000đ
Bảng tổng chi phí dự kiến cho cả liệu trình:
| Hạng mục | Chi phí ước tính |
|---|---|
| Chẩn đoán (khám + X-quang/CT) | 100.000đ – 500.000đ |
| Phẫu thuật bóc nang | 3.000.000đ – 15.000.000đ |
| Ghép xương (nếu cần) | 5.000.000đ – 7.000.000đ |
| Thuốc + tái khám | 300.000đ – 500.000đ |
| Sinh thiết | 500.000đ – 1.000.000đ |
| Tổng (không ghép xương) | 4.000.000đ – 17.000.000đ |
| Tổng (có ghép xương) | 9.000.000đ – 25.000.000đ |
Nếu sau khi bóc nang bạn cần trồng răng thay thế (trường hợp phải nhổ răng), chi phí sẽ cộng thêm phần implant hoặc cầu răng – đó là một câu chuyện khác với ngân sách riêng.
Hình Thức Thanh Toán Linh Hoạt Tại Nha Khoa MIC
Chúng tôi hiểu rằng chi phí điều trị nang răng có thể là một khoản đáng kể với nhiều gia đình. Vì vậy, Nha Khoa MIC luôn cố gắng tạo điều kiện thanh toán linh hoạt nhất cho bệnh nhân:
Các hình thức thanh toán:
- Tiền mặt
- Chuyển khoản ngân hàng
- Thẻ tín dụng/ghi nợ (Visa, Mastercard, JCB…)
- Trả góp 0% lãi suất qua các đối tác tài chính
Với những trường hợp chi phí điều trị cao (từ 10 triệu trở lên), bạn hoàn toàn có thể đăng ký trả góp 0% lãi suất, chia nhỏ khoản thanh toán trong 6-12 tháng mà không phát sinh thêm chi phí. Điều này giúp bạn không phải trì hoãn điều trị chỉ vì vấn đề tài chính.
Dù ngân sách của bạn như thế nào, việc được chẩn đoán chính xác và lên kế hoạch điều trị rõ ràng là bước đầu tiên. Đặt lịch khám để bác sĩ Nha Khoa MIC đánh giá tình trạng và tư vấn phương án điều trị tối ưu về cả chuyên môn lẫn chi phí!
Làm Sao Để Tiết Kiệm Chi Phí Mổ Nang Răng?

Nói thật, cách tiết kiệm nhất chính là… đừng để nang lớn mới đi khám. Nhưng nếu đã có nang rồi, đây là một số gợi ý giúp bạn tối ưu chi phí:
1. Phát hiện sớm, điều trị sớm
Nang 1cm chi phí 3-5 triệu. Nang 5cm chi phí 10-15 triệu + có thể ghép xương thêm 5-7 triệu. Chênh lệch có thể lên đến 15-20 triệu chỉ vì… để lâu. Khám răng định kỳ 6 tháng/lần, chụp X-quang toàn cảnh mỗi 1-2 năm sẽ giúp phát hiện nang khi còn nhỏ.
2. Chọn phòng khám uy tín ngay từ đầu
“Tiền nào của nấy” không phải lúc nào cũng đúng, nhưng chọn nơi quá rẻ có thể dẫn đến điều trị không triệt để, tái phát, phải mổ lại – tốn gấp đôi. Quan trọng là bác sĩ có chuyên môn răng hàm mặt, có kinh nghiệm xử lý nang răng.
3. Hỏi rõ về chi phí trọn gói
Trước khi đồng ý điều trị, hãy yêu cầu bác sĩ liệt kê tất cả các khoản chi phí có thể phát sinh. Một phòng khám uy tín sẽ báo giá minh bạch, không “úp mở” để rồi phát sinh thêm sau.
4. Tận dụng chương trình ưu đãi
Nhiều phòng khám có chương trình khám miễn phí, giảm giá dịch vụ vào các dịp đặc biệt. Theo dõi và tận dụng khi có cơ hội.
5. Đừng trì hoãn vì sợ tốn tiền
Nghe có vẻ mâu thuẫn, nhưng trì hoãn điều trị chính là cách tốn tiền nhất. Nang để lâu không tự khỏi, chỉ lớn dần và gây thêm biến chứng – lúc đó chi phí sẽ còn cao hơn nhiều.
Kết bài
Chi phí mổ nang răng dao động từ 3-25 triệu đồng, phụ thuộc vào kích thước nang, vị trí, phương pháp điều trị và có cần thêm các thủ thuật như ghép xương hay không. Con số cụ thể chỉ có thể xác định chính xác sau khi bác sĩ thăm khám trực tiếp và đánh giá tình trạng của bạn.
Đừng để chi phí trở thành rào cản khiến bạn trì hoãn điều trị. Nang răng để càng lâu càng lớn, chi phí điều trị tăng lên đáng kể, chưa kể các biến chứng như phá hủy xương hàm, ảnh hưởng răng lân cận, thậm chí nhiễm trùng lan rộng. Hãy chủ động đến khám để biết chính xác tình trạng và chi phí của mình – bước đầu tiên này tại Nha Khoa MIC hoàn toàn miễn phí. Một nang nhỏ được phát hiện sớm không chỉ dễ điều trị mà còn giúp bạn tiết kiệm đáng kể so với việc chờ đợi đến khi có triệu chứng rõ ràng.
Thông tin bài viết này có hữu ích?
Hãy giúp chúng tôi vài dòng đánh giá bên dưới.
Chúng tôi cần thêm thông tin gì để bài viết này được tốt hơn?


